
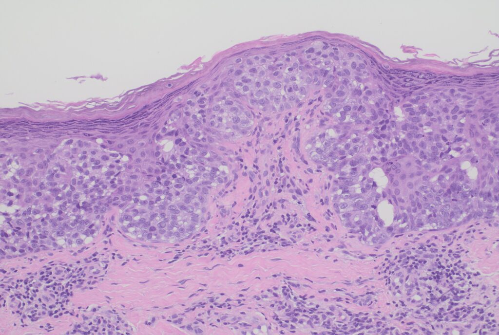
写真の病理像について。
陰部皮膚から採取された皮膚に腫瘍を認める。
腫瘍は、表皮内に胞体の淡明な細胞増殖を認める.腫瘍細胞の核は中型から大型, 核小体は明瞭化している. 胞体は淡明である.
はじめに Paget病とは
病理診断
乳房外パジェット病(extramammary Paget disease:EMPD)
乳房外パジェット病(extramammary Paget disease:EMPD)は,高齢者の外陰部や腋窩,肛門周囲に発生する皮膚の悪性腫瘍(癌腫)である.
パジェット細胞(Paget cell)は胞体の淡明な大型の腫瘍細胞が主に表皮内で増殖する.
アポクリン腺の分布する部位に好発する。
免疫染色の特徴から,アポクリン腺由来の腫瘍と考えられている.
進行は基本的に緩徐であり,表皮内癌の状態で経過する期間が長いため,初診時からリンパ節や遠隔転移を認める症例は少ない.
早期病変は湿疹,皮膚炎やカンジダ症と類似した病像が多い.
同じ「Paget病」 だが、乳房外パジェット病と乳房パジェット病の対応は異なる。
乳房パジェット病(MPD)とは?
発生部位:乳頭・乳輪部の皮膚
関連疾患:乳癌と関連する
特徴:乳頭・乳輪に湿疹様で、赤く(発赤)、かゆみ(掻痒)、ただれ(びらん)が生じる
病理学的には、Paget細胞が主に表皮内に出現する。
多くの症例で、乳腺内に癌が存在する。癌は乳管に沿って進展する。
治療:乳癌のひとつとして扱う。通常の乳癌に準じて、手術、放射線療法、
ホルモン療法・化学療法を選択する。

図 乳房パジェット病の肉眼像. (Sione Markarian. Mammary Paget’s Disease: An Update. )
FIGURE :
パジェット病の初期像。A. ミギ乳頭に病変を認める。B. 同拡大像。乳頭部にびらん、発赤を認める。
C. 乳輪まで拡大し、進行したパジェット病。
乳房外パジェット病(EMPD)とは?
発生部位:乳房以外の皮膚(特に陰部・肛囲・腋窩などのアポクリン腺が多い部位)
関連疾患:皮膚原発が多いが、まれに皮膚外の臓器で膀胱、直腸、前立腺などの腫瘍と関連する。
特徴:湿疹様・白斑状・紅斑などで、慢性的に進行し、表皮内にパジェット細胞を認める。
好発年齢:高齢女性や男性にも見られる。
治療:皮膚癌のひとつとして扱う。
局所:外科的切除。
内臓がんの精査(内視鏡・画像検査)を行うこともある
進行例:放射線治療、化学療法
乳房外パジェット病診療ガイドライン、こちら。
乳房外パジェット病は,原発性と続発性(二次性)に分けられる.
原発性の起源については複数の説があり,アポクリン腺由来,脂腺が上皮内に迷入したと考えられる Toker 細胞が由来,表皮の多能性胚細胞や毛包幹細胞由来の上皮性悪性新生物などと考えられている.
続発性(二次性)は,直腸・肛門管がん,尿路上皮がんなどの泌尿器系がん,婦人科系がんといった皮膚に近接する臓器のがんが、上皮内を進展して表皮へ到達して表皮内がんの所見を呈したものであり,あくまでも他がん種が外陰部や肛門周囲皮膚に進展したものである.
乳房パジェット病は皮膚がんとして取り扱うのではなく、乳がんのひとつとして取り扱う。その理由は、乳房パジェット病には、乳管内の非浸潤性または浸潤性の癌:Dductal carcinoma in situ (DCIS)またはInvasive ductal carcinoma (IDC)を伴うことがあるため、乳頭・乳輪にとどまらず、乳腺組織内病変を検索する必要がある。
付記
パジェット病の表記について
WHO分類などでは、Paget disease とアポストロフィを付けない形が正式に使われている。
これは近年の国際的な標準化の流れで、疾患名における「人名所有格(’s)」を避けるように統一されてきたためである。一方、古い教科書や臨床現場では依然として Paget’s disease の表記も広く使われている。学術論文や診断書で表記するなら Paget disease が望ましい。
名称の歴史的背景
1874年にイギリスの医師ジェームズ・パジェット(James Paget)がこの病気を報告したことにちなんで名づけられた。個人の功績をたたえ、「パジェット氏の病気」という意味で所有格「’s」がついた。近年の学術的な流れでは医学用語の人名にちなんだ用語においては、個人名への所有格を省略する傾向がある。これは、病気の発見者ではなく、病気そのものを指すという考え方に基づいている。
- パジェット病Paget’s disease→Paget disease
- アルツハイマー病Alzheimer’s disease→Alzheimer disease
- パーキンソン病Parkinson’s disease→Parkinson disease
- クリーン病Crohn’s disease→Crohn disease
- ホジキンリンパ腫Hodgkin’s lymphoma→Hodgkin lymphoma
- グレブス病Graves’ disease→Graves disease
- バセドー病Basedow’s disease(和文でよく使用)→Graves disease に統
- ウェジェナー肉芽腫症Wegener’s granulomatosis→多発血管炎を伴う肉芽腫症Granulomatosis with polyangiitis (GPA)(人名表記から変更)
- ライター病Reiter’s syndrome→反応性関節炎Reactive arthritis(人名表記廃止)
病理学的な鑑別疾患:免疫組織化学法
表皮内や粘膜上皮内に胞体が淡明な異型細胞が胞巣形成や散在性に存在する場合、乳房外Paget病、ボーエン病、上皮内悪性黒色腫を鑑別に挙げて検索する。
免疫染色による比較
| 乳房外Paget病 | ボーエン病 | 悪性黒色腫 | |
| CK7, Ber-EP4 | + | – | – |
| p63 | – | + | – |
| S100, Melan A | – | – | + |
各免疫染色抗体の特徴
| 発現部位 | 抗原 | 陽性所見 | 診断的意義 | |
| CK7 | 単層円柱上皮、胆道・膵管・肺・乳腺・卵巣など | ケラチンファミリーの中間径フィラメントタンパク質のひとつ | 細胞質 | 腺癌パネル(肺・乳・卵巣) |
| Ber-EP4 | 上皮系腫瘍(特に腺癌、基底細胞癌など) | 上皮細胞接着分子EpCAM (epithelial cell adhesion molecule | 細胞質 | 中皮腫 vs 転移性腺癌の鑑別 基底細胞癌 vs 扁平上皮癌の補助 |
| p63 | 扁平上皮(皮膚・気管支・子宮頸部)、一部の尿路上皮、筋上皮 | 核内転写因子(p53ファミリー) | 核 | 扁平上皮癌、尿路上皮癌、乳腺筋上皮が陽性 |
| S100 | メラノサイト、神経鞘細胞、脂肪細胞、軟骨細胞、樹状細胞など | Ca²⁺結合蛋白 | 細胞質+核 | メラノーマのスクリーニングマーカー(高感度だが低特異性). 神経鞘腫、軟骨腫瘍、Langerhans細胞組織球症などで陽性 |
| Melan A | メラノサイト系腫瘍(特に黒色腫)、副腎皮質 | メラノサイト特異的膜蛋白 | 細胞質 | 黒色腫の特異性が高い(S100と併用). 副腎皮質腫瘍の同定にも有用 |
参考文献
Sione Markarian. Mammary Paget’s Disease: An Update. Cancers (Basel). 2022 May 13;14(10):2422. doi: 10.3390/cancers14102422.
Lauro Lourival Lopes Filho, et al. Mammary and extramammary Paget’s disease. An Bras Dermatol. 2015 Mar-Apr;90(2):225-31. doi: 10.1590/abd1806-4841.20153189
Sneha Butala. Paget’s Presentation of High-Grade Ductal Carcinoma In Situ (DCIS) in a Very Young Female With Breast Cancer 2 (BRCA2) Mutation. Cureus. 2024 Feb 22;16(2):e54678. doi: 10.7759/cureus.54678
田中浩一. 乳房内に非浸潤性乳管癌(径9.0cm)を伴ったHER2陽性乳房Paget病の1例. 日臨外会誌,2024.
乳房外Paget病. 新潟大学病理. https://www.med.niigata-u.ac.jp/pa1/gallery-skin-37.html
中村瞳. 乳房外パジェット病の臨床と研究の最前線. 医学のあゆみ 289(7): 496-501, 2024.
Extramammary Paget disease. Pathology Online. https://www.pathologyoutlines.com/topic/skintumornonmelanocyticpagets.html
伊藤智雄. 乳房外Paget病vsボーエン病vs上皮内悪性黒色腫. 免疫染色究極マニュアル. p331.
高井利浩. 陰部, 肛囲Paget病を見逃さない. MB Derma (320): 127-132, 2022.
冒頭の写真は、須佐ホルンフェルス。紹介はこちら。


コメント