
写真は肺炎球菌ワクチン、ニューモバックス。添付文書はこちら。
基本方針
脾臓摘出(無脾)患者では、莢膜保有菌による重症感染症のリスクが高いため、肺炎球菌、髄膜炎菌、インフルエンザ桿菌(Hib)などに対するワクチン接種が推奨される。術前2週間を目安に主要ワクチン接種を完了することが望ましい。
脾臓摘出後1年程度で侵襲性感染症のリスクは最高となり、以後生涯に渡って高リスクの状態は持続する。これらの細菌による侵襲性感染症は、脾臓摘出後重症感染overwhelming postsplenectomy infection(OPSI)と呼ばれ,死亡率は50%以上であり,多くは24時間以内に死亡する.
ワクチンの接種時期は,脾臓摘出の14日以上前が望ましい.外傷などの予期しない脾臓摘出の場合は,手術後14日以上経過し,全身状態が安定してから接種が望ましい.
最も優先度が高く、保険収載されているのは肺炎球菌ワクチン、ニューモバックス(PPV23)である。ニューモバックスには23種類の血清型の肺炎球菌が含まれており、これが侵襲性肺炎球菌感染症(invasive pneumococcal disease:IPD)を減少させる、とされている.ニューモバックスは基本的に5年おきに接種することが推奨されている.CDCガイドラインでは,プレベナー20をニューモバックスに先行させて接種することを推奨している.2つのワクチンの接種間隔は,脾機能低下の場合に限り,最低8週間まで短縮できる.PCV20の接種可能年齢には制限がある。またニューモバックスは5年毎に接種することが推奨されている.
髄膜炎菌ワクチンは脾機能低下症例、脾摘例に接種が推奨されている.メンクアッドフィは4価髄膜炎菌結合型ワクチンで、血清型のA、C、Y、W-135の4つに対応したワクチンである。メンクアッドフィは2~3カ月の間隔(8週間が標準的d)で2回接種し,その後は5年毎に追加接種することが推奨されている.CDCは、血清型Bに対するワクチン接種も行うべきであるとしているが,現在,日本では承認されていないため,未承認ワクチンを扱う医療機関で接種する必要がある。この場合は輸入ワクチンで対応されている。
インフルエンザ菌b型ワクチンも接種が考慮される。ヒトでは通常5歳までにインフルエンザ菌b型に対する抗体は誘導され免疫が記憶されているとされるが、脾機能低下症例、脾摘症例では重症化することがあるため、1回のみ追加接種する.
成人における、脾臓摘出前の各ワクチンの接種スケジュールは表の通りである.
参考:Mandell, Douglas, & Bennett’s Principles & Practice of Infectious Diseases, 10th ed. p.3738から抜粋し、さらに編集.
肺炎球菌Streptococcus pneumoniae ワクチン

肺炎球菌:成人 PCV20/PCV21 (もしワクチン接種歴なし、または過去にPCV15を接種しているか、あるいは低力価の者)。もしもしPCV20/21の代わりにPPSV23を使用する場合は、PCV15の予防接種から少なくとも8週間後に接種すること。
脾臓摘出の2週間前に接種を終了する。なお脾臓摘出後の患者に対するワクチン接種は,術後2週間以上の間隔を空けて接種することが望ましい.
ニューモバックスの添付文書はこちら。ニューモバックスは保険収載されています。
プレベナー20の添付文書はこちら。成人接種の場合、プレベナーは保険収載されておらず、自費です。
髄膜炎菌 Neisseria meningitidis ワクチン

7歳を超える小児および成人(Children >7 years and adults):MenACWYワクチン(メンクアッドフィ)を2回接種し、5年ごとに再接種を行う。MenACWYワクチンの1回目接種から2~3か月後(標準的には8週間後)に2回目を接種する。
メンクアッドフィの添付文書はこちら。メンクアッドフィは保険収載されておらず、自費です。
インフルエンザ菌 Haemophilus influenzae type b ワクチン

成人(Adults):脾臓摘出術(splenectomy)の2週間前にHibワクチンを1回接種。
アクトヒブの添付文書はこちら。アクトヒブは保険収載されておらず、自費です。
脾臓の免疫学的な機能

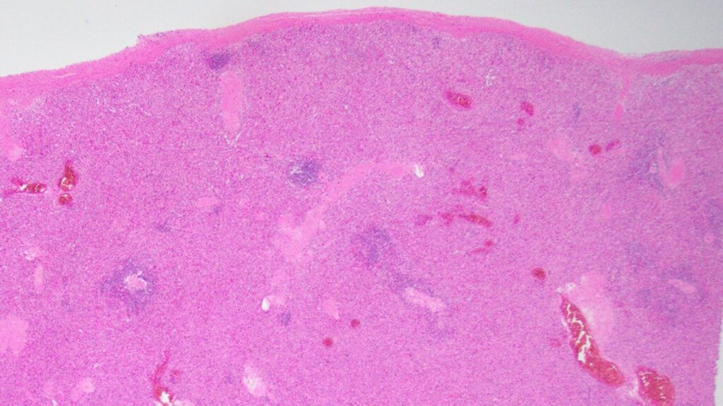
写真は脾臓のHE染色。
脾臓は末梢組織最大のリンパ装置である。免疫応答に関連するとともに、体内の血液中を循環する血球を補足、処理し、血液を濾過する機能を有する。組織学的には、細網組織、白脾髄(リンパ球の集まり)、赤脾髄(赤血球の集まり)、周辺帯により構成される(HE染色)。
過去に脾臓は摘出しても問題はないと考えられていた.しかし,1952年にKingらが脾臓摘出後の患者5人の重症感染症の報告を行った.
H KING, H B SHUMACKER Jr. Splenic studies. I. Susceptibility to infection after splenectomy performed in infancy. Ann Surg. 1952. こちら。
現在、脾臓は自然免疫や獲得免疫に関連する臓器と認識されている。脾機能低下者は液性免疫不全をきたし,莢膜保有菌やマラリア,バベシアなどに罹患した際に重症化しやすいことが知られている.致死率は50〜75%ともいわれており,脾臓摘出後重症感染症(Overwhelming post-splenectomy infection:OPSI)と呼ばれている.
脾臓摘出後重症感染症(OPSI)の総説
Prabhu Dayal Sinwar. Overwhelming post splenectomy infection syndrome – review study. Int J Surg. 2014. こちら。
Leandro Utino Taniguchi, Mário Diego Teles Correia, Fernando Godinho Zampieri. Overwhelming post-splenectomy infection: narrative review of the literature. Surg Infect (Larchmt). 2014. こちら。
Trent L Morgan, Eric B Tomich. Overwhelming post-splenectomy infection (OPSI): a case report and review of the literature. J Emerg Med. 2012. こちら。
脾臓の機能
高橋英明, 福島慎二. 基礎疾患のある人のワクチン. 診断と治療 113(6): 705-708, 2025.
脾臓では,血中に入った細菌の濾過や貧食,異物や寄生虫の除去,莢膜を有する細菌のオプソニン化に必要な免疫グロブリンや補体系の調節因子の産生など感染防御に重大な役割をもつ.そのため,無脾症や脾臓摘出後の患者では,オプソニン化作用の低下により特に英膜を有する細菌(肺炎球菌やインフルエンザ菌髄膜炎菌など)の重症化リスクが高いため,肺炎球菌ワクチンやインフルエンザ菌b型(Hib)ワクチン,髄膜炎菌ワクチンの接種が推奨される.なお,脾臓摘出後の患者に対するワクチン接種は,術後2週間以上の間隔を空けて接種することが望ましい.
また,発作性夜間ヘモグロビン尿症などに対して,抗補体C5モノクローナル抗体(エクリズマブやラブリズマブ)を投与中の患者では,髄膜炎菌ワクチンの接種が推奨される8).その他補体C3阻害薬(ペグセタコプラン)や補体B因子阻害薬(イプタコパン)を投与予定の患者では,髄膜炎菌ワクチン,肺炎球菌ワクチン,Hibワクチンの接種が必要である.
これらの患者では,生ワクチンの接種は禁忌でなく,必要に応じて接種を検討する.経鼻弱毒生インフルエンザワクチンは,無脾症(機能的無脾症を含む)の患者は接種不適当者となっているので注意が必要である
冒頭の写真は肺炎球菌のグラム染色。莢膜の存在により、菌体の周囲が抜けて見える。


コメント